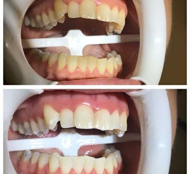
AMBULANTNÉ BIELENIE + (domáce bielenie zubov)
Pred zákrokom odporúčame absolvovať profesionálnu dentálnu hygienu, aby bol efekt čo najlepší. V našej ambulancii vykonávame profesionálne ambulantné bielenie zubov pomocou certifikovaných vysoko koncentrovaných bieliacich gélov. Ide o bezbolestný výkon, ktorý spočíva v nanesení gélu na zuby, jeho opakovanom pôsobení 15 – 20 minút.
Počet aplikácií závisí od dosiahnutia očakávaného odtieňa a od citlivosti zubov pacienta.
Čo treba dodržiavať po bielení?
Po bielení je dobre dodržiavať tzv. bielu diétu minimálne dva týždne. Vašou úlohou bude vyhýbať sa akýmkoľvek potravinám a nápojom s farbivami – káva, čaj, kola, červené víno, cvikla atď.
Domáce bielenie
V našej ambulancii bielime metódou, ktorá pre pacienta znamená maximálny komfort. Zuby si totiž budete bieliť sami doma. U nás sa musíte ukázať len na začiatku, aby sme vám na základe odtlačku zubov vytvorili dlahu na mieru. Do nej si potom (najlepšie v noci) aplikujete bieliaci gél.
A aké sú výhody profesionálneho bielenia zubov u nás?
Šetrná, ale účinná metóda, ktorá nepoškodzuje zub, ani zubnú sklovinu.
Certifikované materiály a prípravky.
Ešte pred bielením vám spravíme dentálnu hygienu.








Zubár
Profesionálna zubná starostlivosť v Sečovciach.
Ambulancia
dent.sostak@gmail.com
+421 948 152 888
© 2025. Všetky práva vyhradené. Web vytvorilo
