RTG
Ako jediná zubná ambulancia v Sečovciach ponúkame možnosť zhotovenia OPG snímku na počkanie nielen pre našich pacientov, ale aj pre širokú verejnosť. Už nemusíte cestovať do Trebišova, Michaloviec či Vranova nad Topľou – kvalitný röntgen máte k dispozícii priamo u nás.
Zubný röntgen je nevyhnutnou súčasťou moderného zubného lekárstva. Má nezastupiteľnú úlohu pri prevencii, diagnostike aj liečbe.
Zhotovujeme panoramatické - OPG snímky zubov a Intraorálny röngen zubov.
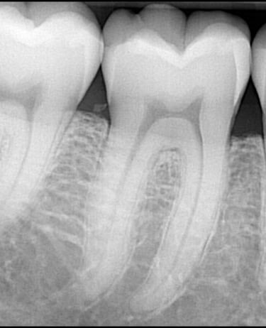
Intraorálne röntgenové snímky sú ako malý detektív, ktorý sa pozerá do miest, ktoré oko nevidí. Tento typ röntgenového snímku sa robí priamo v ústach a ponúka detailný pohľad na jednotlivé zuby a ich okolie. Intraorálne röntgenové snímky sú rýchle a jednoduché, často trvajú len niekoľko sekúnd, a vďaka ich presnosti sa zubný lekár môže zamerať na problémové miesta a liečiť ich skôr, ako začnú spôsobovať bolesť alebo väčšie problémy.






Zubár
Profesionálna zubná starostlivosť v Sečovciach.
Ambulancia
dent.sostak@gmail.com
+421 948 152 888
© 2025. Všetky práva vyhradené. Web vytvorilo
